From Insecurity to Confidence: Real Stories About the Transformative Power of Dental Veneers
For many, a smile is a universal expression of joy and confidence. Yet, for millions of Americans, dental imperfections turn smiles into sources of insecurity. According to the American Dental Association (ADA), over 25% of adults avoid smiling due to concerns about their teeth.
For individuals like Sarah, a 29-year-old teacher from Florida, dental veneers didn’t just enhance her appearance—they restored her confidence. This article explores the emotional impact of veneers, sharing real-life transformations and the profound effect a new smile can have on mental health.

The Emotional Burden of Dental Imperfections
Dental imperfections, whether stained, chipped, or misaligned teeth, often carry a heavy emotional toll. Social interactions become daunting, self-confidence dwindles, and opportunities may even be missed due to embarrassment.
In fact, a study by the American Academy of Cosmetic Dentistry (AACD) reveals that 33% of Americans are dissatisfied with their smiles, with many reporting feelings of anxiety and low self-esteem. For some, these struggles can lead to deeper mental health challenges, including social withdrawal or depression.
What Are Veneers and How Do They Work?
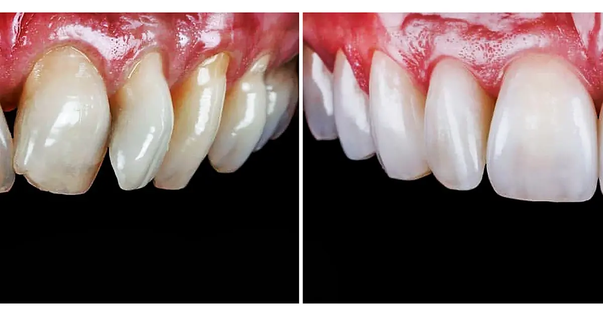
Dental veneers are thin, custom-designed shells crafted from porcelain or composite resin. They’re bonded to the front of teeth, instantly masking imperfections and creating a natural, radiant appearance.
In recent years, veneers have surged in popularity across the U.S., becoming a cornerstone of cosmetic dentistry.
| Aspect | Statistic |
|---|---|
| Americans unhappy with smiles | 33% |
| Annual veneer procedures | 600,000+ |
| Average cost per veneer | $800–$2,500 |
Personal Stories of Transformation
Sarah’s Journey to Confidence
Sarah had always been self-conscious about her severely stained teeth, a result of years of coffee consumption and smoking. After consulting with a cosmetic dentist in Miami, she decided to invest in veneers.
“The first time I saw my new smile, I couldn’t stop crying,” Sarah shared. “It wasn’t just about how I looked—it was how I felt. I finally felt confident standing in front of my classroom.”
John’s Professional Breakthrough
For John, a 34-year-old sales executive in New York City, chipped teeth were more than a cosmetic issue—they were a barrier to his career. After getting veneers, he landed his dream role and reported feeling more comfortable during high-stakes client meetings.
“It’s incredible how something as simple as a smile can change the way people perceive you,” John said.
The Link Between Smiles and Mental Health
Smiling is more than a social cue—it’s a physiological trigger for happiness. Research from the American Psychological Association (APA) indicates that smiling activates neural pathways associated with positivity, reducing stress and boosting mental well-being.
For patients who receive veneers, this newfound confidence often leads to:
- Improved social interactions
- Increased self-esteem
- Lower stress levels
The Veneer Journey in the U.S.
If you’re considering veneers, here’s what you can expect:
- Consultation: During the first visit, your dentist will evaluate your teeth and discuss your goals.
- Design: A personalized treatment plan is created, often using digital imaging to preview the final result.
- Preparation: A thin layer of enamel is removed to fit the veneers. Temporary veneers may be placed.
- Placement: Custom veneers are bonded to your teeth, ensuring a natural and flawless look.
Costs in the U.S.: The price of veneers typically ranges from $800 to $2,500 per tooth, depending on the dentist’s expertise and location. Financing options are widely available, making this transformative treatment accessible to more Americans.

Smiling Forward
Dental veneers offer more than a cosmetic upgrade—they provide a gateway to renewed confidence, improved mental health, and a brighter outlook on life.
If you’ve ever felt held back by your smile, consider exploring veneers as an option. With countless success stories and advanced dental technology readily available across the U.S., the path to your perfect smile may be closer than you think.
“A smile is the most beautiful curve on your body—let it shine with confidence.”







